220-0011
神奈川県横浜市西区高島
2-18−1 そごう横浜 9階/8階

電話マーク

お電話

メニュー

アーカイブ
2026
2025
2024
2023
2022
2021
2020
2019
2018
2017
初診
検査
症状から記事を探す
診療メニューから記事を探す

「2021年」に関する一覧

フッ素のちから

こんにちは! 今回は、フッ素のちからについて実験してみました。 皆さんが使っている多くの歯磨き粉にもフッ素が含まれています。 フッ素って『歯を守る』と言われていますが、実際どの程度なのでしょうか? 茶色の卵の一部に歯科医 […]

詳細を見る

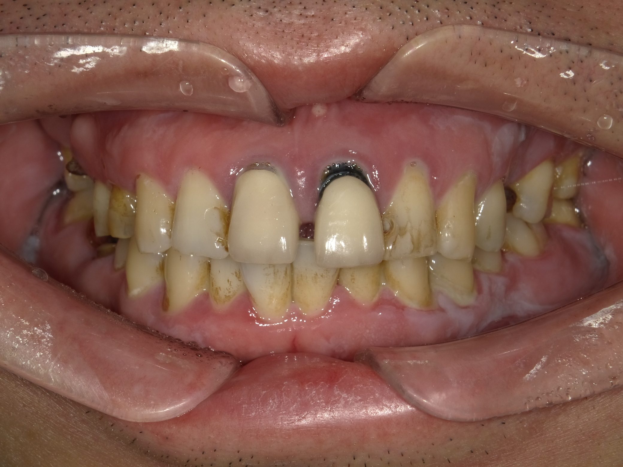
すきっ歯を治したい!!

空は深く澄み渡り、さわやかな季節となりましたが、皆様もお変わりなくお過ごしでしょうか。 今回ご紹介させていただくのは、前歯の見た目に不満を抱えていた患者様の症例です。 患者様は、すきっ歯で歯の根本が黒いのを気にされていま […]

詳細を見る

インビザライン-マウスピース矯正

みなさんこんにちは。 歯科医師の津川です。 今回はインビザライン(マウスピース矯正)の症例です。 患者様は前歯が嚙み合わないため奥歯にかかる力の負担が大きく、奥歯の咬合痛(噛んだときの痛み)が出やすい状態の歯並びをしてい […]

詳細を見る

ルシェロホワイト

みなさんこんにちは! ついこの前まで、夏だと思っていたら急に秋の天気になって来ましたね。 気温の変化があるので体調にはお気をつけ下さい! 私はお芋が大好きで、芋味には目がありません! やわもちの大学芋味がとても美味しいの […]

詳細を見る

歯冠・歯根破折

こんにちは!だんだん過ごしやすい気温になってきましたね! 今回は根管治療(神経の治療)後に土台と被せ物を取りつけていく重要性についてお話していきます! 神経の治療を行い根の中が綺麗になった後、最終的なお薬を入れます。 そ […]

詳細を見る

歯石

こんにちは。 歯科衛生士の町田です! みなさん、歯科医院で「歯石がついてますよ」と言われたことはありませんか? 当院では、定期的な歯科検診と歯石除去(クリーニング)をオススメしております。 ●歯石とは? お口の中のプラー […]

詳細を見る

インプラントオペ

こんにちは! 歯科医師の津川です。 最近は暑いだけでなく湿気もあって過ごしにくい日が続いていますが、みなさん体調はいかがでしょうか? 新型コロナも流行っていますし、体調をくずさないように気を付けてくださいね! さて、今回 […]

詳細を見る

ジルコニアクラウン

こんにちは ! 歯科助手の堀井です。 今回は メタルボンドクラウンから ジルコニアクラウンにやりかえた方のお話です。 そもそもメタルボンドクラウンとは、金属のフレームにセラミックを焼き付けたもので、構造としては見える表面 […]

詳細を見る

日本人は歯が黄色い?

みなさんこんにちは。 東京オリンピックが開催されて活気付いていますね!! コロナ禍での開催ということで、1年延期や無観客試合だったりと、、 今までとはまた違う印象的なオリンピックになりそうですね〜! この日のために頑張っ […]

詳細を見る

ラバーダム防湿

こんにちは! 暑い日が続いてますね。いかがお過ごしですか? 歯医者さんに通っている方の中には、歯に痛みを感じた事がきっかけで通院している方も多いかと思います。 虫歯治療には当日に治療が終わる簡単な処置もあれば、何回か通院 […]

詳細を見る

横浜エス歯科クリニック

住所

220-0011
神奈川県横浜市西区高島
2-18−1 そごう横浜 9階/8階

最寄駅

横浜駅 東口より徒歩2分

駐車場

そごう横浜のパーキング館など、周辺の駐車場をご利用ください。

支払い方法

現金/クレジットカード/PayPay

10:00〜13:30
14:30〜20:00
お電話でのお問い合わせ

045-620-0600

ご予約はこちら
WEB初診予約

BACK TO TOP

WEB予約アイコン

WEB予約

LINE予約アイコン

LINE予約

お電話アイコン

お電話