Contents目次
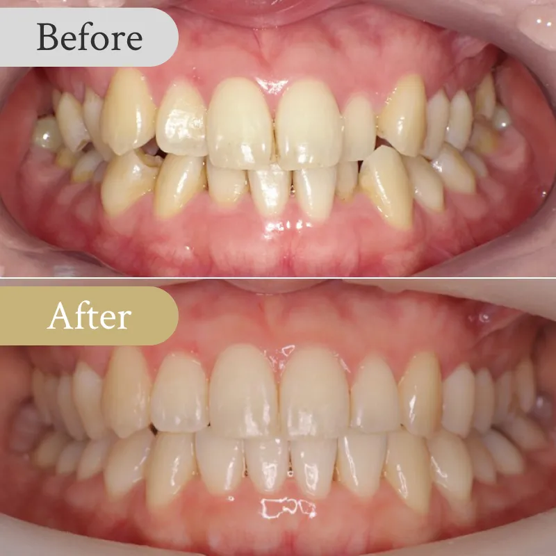
Pickup Caseピックアップ症例
横浜エリア・横浜駅周辺でマウスピース矯正をご検討されている方は、
「横浜エス歯科クリニック」へお任せ!

People当院ではこんな方が
マウスピース矯正を受けています!
横浜エス歯科クリニックでは、
次のような方が実際に当院のマウスピース矯正を受けられています。
- プロサッカー選手・格闘家
- 現役モデル
- 結婚式までに歯並びを綺麗にしたい方
- 成人式を控えている学生
- 子育てが落ち着いた主婦
- 接客業をしている男性
Explanationマウスピース矯正とは?

マウスピース矯正とは、従来のワイヤー矯正とは異なる「透明な医療用プラスチック製のマウスピース」を使用して、歯を少しずつ動かしてく近年人気の矯正方法です。
担当の歯科医師の指示のもと、複数枚のマウスピースを一定周期で取り換えていく手法です。
こちらでは、マウスピース矯正の人気の裏付けとなる特徴について詳しくご紹介いたします。
マウスピース矯正による効果・メリット
矯正装置が目立たない
マウスピースは透明で薄いプラスチック素材でできており、装着してもほとんど気づかれません。
そのため、見た目を重視する方や人前に立つ機会が多い方に適した矯正方法です。
取り外して普段通りの生活ができる
マウスピースは自分で着脱可能なため、食事や歯磨きの際に取り外せます。
これにより、食事制限が不要で虫歯や歯周病のリスク軽減につながる点も大きなメリットです。
痛みや違和感が少ない
マウスピース矯正では、1枚ごとに0.25mm前後という小さなステップで歯を移動させるため、ワイヤー矯正に比べて痛みが少ないのが特徴です。
さらに、矯正装置の表面がなめらかで頬や唇を傷つけにくいという安心感もあります。
通院回数が少ない
治療開始時に詳細な計画を立て、それに基づいて複数枚のマウスピースをまとめてお渡しするため、通院は1〜3ヶ月に1回程度で済みます。
忙しい方や遠方から通う方にとって負担を軽減できる矯正方法です。
金属アレルギーの心配がない
マウスピースは金属不使用の医療用プラスチック製のため、金属アレルギーの心配がありません。
身体への優しさにも配慮された矯正方法です。
治療のシミュレーションが可能
マウスピース矯正では、専用の3Dシミュレーションを用いて、歯の移動過程や矯正後の歯並びを事前に確認できます。
ゴールを視覚的に把握できるため、治療の見通しが立ちやすくモチベーションを維持しやすいのも大きなメリットです。
Dentitionマウスピース矯正で治療可能な歯並び
横浜エス歯科クリニックで行うマウスピース矯正では、次のような歯並びに対して治療が可能です。
上顎前突(出っ歯)
上の前歯や上顎全体が通常よりも前に突出している状態。出っ歯とも言われる。
上顎前突の特徴
・口が閉じにくい
・発音がしづらい
下顎前突(受け口)
下の前歯や下顎全体が上の前歯よりも前に突出している状態。上下の噛み合わせが逆になっている。受け口とも言われる。
下顎前突の特徴
・しゃくれたような見た目
・口が閉じにくい
・発音がしづらい
叢生(八重歯・乱杭歯)
歯が重なり合いガタガタした状態。犬歯が外側に飛び出た状態の八重歯。歯がねじれた見た目の乱杭歯(らんぐいば)。
叢生の特徴
・犬歯が外側に出ている
・歯がねじれたような見た目
・発音がしづらい
空隙歯列(すきっ歯)
歯と歯の間に隙間がある状態。すきっ歯とも言われる。
空隙歯列の特徴
・歯の中央の隙間が目立つ
・発音がしづらい
開咬(オープンバイト)
奥歯を噛み合わせた時に前歯が閉じない状態。オープンバイトとも言われる。
開咬の特徴
・前歯が閉じずに隙間ができる
・奥歯が噛み合わず隙間ができる
過蓋咬合
上の前歯が下の前歯を覆い隠すほど深く噛み込んでいる状態。
過蓋咬合の特徴
・噛み合わせ時に下の前歯がほぼ見えない
・下の前歯が上の歯ぐきにあたる
交叉咬合
噛み合わせた時に歯が左右にずれている状態。
交叉咬合の特徴
・上の前歯が下の前歯の内側に入る
・奥歯が横にずれて噛み合っている
Mechanismマウスピースで歯が動く仕組み
マウスピース矯正では、歯に加わる力によって歯の周囲にある「歯根膜」というクッションのような組織が押されたり引っ張られたりします。
押された側では骨が溶けていき、引っ張られた側では新しい骨が作られるため、歯が少しずつ移動していきます。
この現象を「骨のリモデリング」と呼び、マウスピースを1枚ずつ交換しながら段階的に力を加えることで、痛みを抑えつつ理想的な歯並びに近づけることができます。
Comparisonワイヤー矯正との比較
マウスピース矯正とワイヤー矯正は、見た目、痛みや違和感、治療期間、費用に
次のような違いがあります。
見た目の審美性
ワイヤー矯正では、金属製のブラケットとワイヤーを使用するため、装置が目立ちやすいデメリットがあります。
一方、マウスピース矯正では透明なプラスチック素材を使用しており、装着していてもほとんど気づかれません。
矯正中の痛み・違和感
マウスピース矯正は弱い力で段階的に歯を動かすため、ワイヤー矯正よりも痛みや違和感が少ないとされています。
装置の凹凸が少ないため、口腔内の傷や口内炎もワイヤー矯正より起こりにくいです。
矯正期間
マウスピース矯正とワイヤー矯正では、矯正期間に大きな差はありません。
歯並びの状態や治療計画によって前後するものの、どちらの矯正方法でも適切な管理のもとであれば効率的に治療を進めることが可能です。
矯正費用
マウスピース矯正は、装置の製作コストや3Dシミュレーションの技術を要するため、ワイヤー矯正よりも料金が高くなる傾向があります。
しかし、目立ちにくさや快適性など、費用に見合ったメリットを重視される方には満足度の高い選択肢といえます。
Notesマウスピース矯正の注意点・リスク
1日20時間以上のマウスピース装着
マウスピース矯正では、1日20時間以上マウスピースを装着する必要があります。
定められた時間を守れないと、思うような治療結果を得ることが難しくなります。
基本的に、食事や歯磨き以外の時間はマウスピースを装着することが大切です。
装置の交換時期を守る
指定された期間で必ず新しいマウスピースに交換するようにしましょう。
交換のタイミング忘れや、自己判断で早めに交換してしまうことで、歯の移動を計画的に進められない場合があるため注意が必要です。
マウスピースの紛失に注意
マウスピース矯正をしている方によくあるトラブルが、マウスピースの紛失です。
飲食店や外出時での歯磨きの際にマウスピースを外した際に、ゴミと間違えられて捨てられてしまう場合があります。
取り外す際には、専用のケースに必ずしまうよう徹底しましょう。
誤ったお手入れによる変形・劣化に注意
マウスピースは熱に弱く、誤って熱湯で洗ったり高温の場所に放置したりすると、変形して使用できなくなる恐れがあります。
また、研磨剤入りの歯磨き粉やアルコール成分を含む洗浄剤もマウスピースを傷める原因となります。
洗浄の際は、必ず専用の洗浄剤やぬるま湯を使用しましょう。
変形したマウスピースを無理に装着すると、歯の動きに悪い影響を与える可能性があるため注意が必要です。
Recommendationマウスピース矯正はこんな人におすすめ!
- 矯正装置の見た目が気になる方
- 接客や営業で人前に立つ機会が多い方
- 食事や歯磨きを普段通りしたい方
- 矯正の痛みをなるべく避けたい方
- 金属アレルギーのある方
- 忙しくて頻繁に通院するのが難しい方
Strengths当院のマウスピース矯正における
6つのこだわり・特徴
-
KANAGAWA TOP LEVEL
神奈川県でトップクラス!
累計3,000超えの症例実績エス歯科クリニックでは、累計3,000件以上のインビザライン矯正を手がけており、これは神奈川県内でもトップクラスの症例数です。この症例数により、インビザライン社のブルーダイヤモンドプロバイダーの認定を獲得しました。矯正治療は症例経験の豊富なドクターが担当することで、より患者さまの希望に近い精密かつ理想的な歯並びの実現が可能になります。当院ではこの豊富な経験を活かし、一人ひとりに合った最適な矯正治療をご提案しています。
-
DENTITION
全7タイプの歯並びが
インビザラインで対応可能!ひとことで「歯並び」と言っても、その種類や特徴は異なり、歯医者によっては歯並びの状態次第で、インビザライン矯正が難しいケースもあります。ですが、当院では累計3,000症例以上を取り扱ってきた知識と経験が豊富な歯科医師が矯正治療を担当いたします。複雑な歯並びの状態、難症例であってもできる限りインビザラインでの矯正ができるようプラン立案をいたします。ご自身の歯並びに自信がない方も、ぜひお気軽に当院へご相談ください。
-
LOW PRICE
軽度の歯並び35万円から
矯正できます!エス歯科クリニックでは、軽度の歯並びであれば35万円からインビザライン矯正が可能です。歯並びの状態に合わせた適正価格で矯正治療をご提案いたします。また、インビザラインは月々の調整費用は一切かかりません。そして当院では、治療費の一括支払いが難しい方でも矯正治療が受けられるよう、デンタルローンをご用意しています。ご利用いただくと月々2,710円からの分割払いが可能です。費用面で矯正治療に踏み出せない方はぜひ一度当院へご相談ください。
-
FREE CONFERENCE
0円で矯正相談が可能!
治療前にシミュレーションも当院では、患者様がより安心してインビザライン矯正を始められるよう、個別での無料相談を実施しています。治療の選択を決断する前に簡易的なシミュレーションを行い、歯並びの変化・動き方をチェックすることが可能です。より明確に仕上がりのイメージを把握することができ、理想的な歯並びの実現をサポートします。セカンドオピニオンとしてのご相談でも問題ございませんので、他院との費用・治療期間の比較などにぜひご利用ください。一人ひとりに最適な治療計画をご提案いたします。
-
iTero
型どり時間を約80%削減!
先進的機器「iTero」完備インビザライン矯正を行う際には、歯並びの形状を把握するために型どりが必要となりますが、従来の型どりですと約10分ほどの時間がかかってしまいます。ですが、iTeroを使用することで型どりの時間を約1~2分程度に短縮することが可能です。また、iTeroを使用することで従来よりも正確かつ緻密な歯型を採取することができるため、精度の高い矯正治療の実現につながります。
-
LEADING-EDGE
矯正期間を最大50%短縮!
最先端の光矯正装置を導入当院では、インビザラインでの矯正期間を大幅に短縮できる最先端の光加速矯正装置「PBMヒーリングオルソ」を導入しています。この装置は、近赤外線光を照射することで細胞の活性を促し、歯の移動を加速させる最新技術です。通常のインビザライン矯正よりも治療期間を最大50%短縮できる可能性があり、より早く綺麗な歯並びを手に入れることができます。 また、光の作用により炎症を抑える効果も期待でき、矯正中の痛みや不快感を軽減するメリットもあります。 できるだけ早く矯正を終えたい方、矯正中のストレスを減らしたい方におすすめの治療法です。
Mouthpiece使用するマウスピースのメーカーについて
「マウスピース矯正」とひと口に言っても、使用するマウスピース矯正ブランドによって、
対応できる症例や装着感、治療の進め方などには違いがあります。
エス歯科クリニックでは、世界的に実績と信頼のある「インビザライン」を導入しており、多くの患者さまから人気のある矯正治療です。
インビザラインとは

インビザラインは、アメリカのアライン・テクノロジー社が開発した、透明なマウスピースで歯並びを整える矯正システムです。
歯列のガタつきだけでなく、出っ歯・受け口・すきっ歯・開咬など軽度から比較的重度まで幅広い症例に対応可能です。
治療前には専用の3Dシミュレーションで仕上がりを確認できるため、見た目の変化に不安がある方も安心です。
マウスピースは約0.5mmと非常に薄く精密にフィットし、装着時の違和感を軽減する設計です。
独自開発された素材により効率的に歯を動かし、痛みも少ないのが特徴です。
さらに、治療計画はデジタルで一元管理されるため、歯の動きを正確に予測しながらスムーズに矯正を進めることができます
Planニーズごとの治療プラン
エス歯科クリニックでは、患者さまのさまざまなお悩みに合わせて柔軟に対応できるように、
2つの治療プランをご用意しています。
「部分矯正」プラン
気になる前歯だけを整えたい、下の歯だけ揃えたいなど、一部分の歯並びを改善したい方に向けた矯正プランです。
「笑った時の前歯のガタつきが気になる」「全体矯正までは必要ないけど部分的に整えたい」などのご希望に対応可能です。
全体矯正に比べて治療期間が短く、費用も抑えられるのが大きな特徴です。
こんな方におすすめ
・前歯のすき間が気になる
・1〜2本だけ歯の位置がズレている
・上下どちらかだけを整えたい
・結婚式までに歯並びを綺麗にしたい
・昔に矯正した歯が再びガタついてきた
治療期間の目安
3〜9ヶ月程度
矯正費用の目安
350,000円(税込)~
「全体矯正」プラン
上下すべての歯並びをしっかり整えたい方に向けた、包括的な矯正プランです。
「噛み合わせまで含めてしっかり治したい」「口元の印象を大きく変えたい」といったお悩みに対応できます。
見た目の美しさだけでなく、機能的な噛み合わせを重視し、精密な診断のもとで一人ひとりに合わせた治療をご提案します。
こんな方におすすめ
・歯並び全体を綺麗に整えたい
・噛み合わせも改善したい
・口元のバランスを整えたい
・過去の矯正の仕上がりに不満がある
治療期間の目安
12〜36ヶ月程度
矯正費用の目安
800,000円(税込)~
Doctorマウスピース矯正のスペシャリストが担当
白井 崇浩
■役職
・エス歯科グループ総院長
・医療法人社団白浩会理事長
■出身大学
・国立新潟大学歯学部
■資格
・厚生労働省認定歯科医師臨床研修医指導医
・ICOI(国際インプラント学会) 指導医・認定医
ICOI(国際インプラント学会) 日本エリア支部長(Area Director)
・iACD歯科総合研究指導医・認定医(Interdisciplinary Diplomate)
・iACD国際歯科学会 日本支部役員 日本理事(Board Director of Japan Section)
・ノーベルバイオケア公認インストラクター
・ノーベルバイオケア インプラント プラチナメンバー
・インビザライン ブルーダイヤモンドプロバイダー・認定医(マウスピース矯正)
・Jリーグ 横浜FC 公認クラブデンティスト
・Jリーグ 横浜FC 取締役
・ベルギー1部リーグ シント=トロイデンVV オフィシャルクラブデンティスト
・臨床歯科麻酔管理指導医
・日本顎顔面美容医療協会 認定医
・日本デジタル矯正歯科学会認定医
・スポーツ歯学協議会スポーツマウスガード認定医
京セラインプラント臨床マイスター
・新潟大学医歯学総合病院 歯科臨床研修管理委員会 研修実施責任者・指導歯科医
・一般社団法人日本口腔ケア学会 評議員
・NYU(ニューヨーク大学) Continuing Dental Japan Program指導医
粟野 祐司
■役職
・横浜エス歯科クリニック 院長
・医療法人社団白浩会理事
■出身大学
・国立新潟大学歯学部
■資格
・厚生労働省認定歯科医師臨床研修医指導医
・Branemark Inplant system Certificate
・POI Implant system Certificate
・American microscope root canal treatment course Certificate
・南カリフォルニア大学歯学部(USC)Japan Program 修了
・CAMLOG implant expert Course 修了
・インビザライン(マウスピース矯正)認定医
・iACD歯科総合医(Interdisciplinary Fellow)
・Jリーグ 横浜FC 公認クラブデンティスト
花澤 昌宏
■役職
・横浜エス歯科クリニック SDCインプラントセンター長
・新横浜エス歯科クリニック 院長
・医療法人社団白浩会理事
■出身大学
・国立新潟大学歯学部
■資格
・厚生労働省認定歯科医師臨床研修医指導医
・Nobel Biocare Mentor Program 修了
・POI Implant system Certificate
・American microscope root canal treatment course Certificate
・American microscope Retreatment Course 修了
・インビザライン(マウスピース矯正)認定医
・Jリーグ 横浜FC 公認クラブデンティスト
Case歯並びの種類ごとの症例
出っ歯の歯列矯正
費用
93.5万円(税込)
治療期間
7ヶ月
リスク・副作用
矯正終了後、後戻り防止のため一定期間のリテーナー装着が必須。
担当歯科医師
総院長 白井 崇浩
受け口の歯列矯正
費用
119万円(税込)
治療期間
16ヶ月
リスク・副作用
矯正終了後、後戻り防止のため一定期間のリテーナー装着が必須。
担当歯科医師
横浜みなとみらい院 首藤 真一
八重歯の歯列矯正
費用
99万円(税込)
治療期間
15ヶ月
リスク・副作用
矯正終了後、後戻り防止のため一定期間のリテーナー装着が必須。
担当歯科医師
総院長 白井 崇浩
すきっ歯の歯列矯正
費用
88万円(税込)
治療期間
11ヶ月
リスク・副作用
矯正終了後、後戻り防止のため一定期間のリテーナー装着が必須。
担当歯科医師
横浜院 花澤 昌宏
オープンバイトの歯列矯正
費用
88万円(税込)
治療期間
11ヶ月
リスク・副作用
矯正終了後、後戻り防止のため一定期間のリテーナー装着が必須。
担当歯科医師
横浜院 永沼 槙一郎
過蓋咬合の歯列矯正
費用
93.5万円(税込)
治療期間
7ヶ月
リスク・副作用
矯正終了後、後戻り防止のため一定期間のリテーナー装着が必須。
担当歯科医師
総院長 白井 崇浩
交叉咬合の歯列矯正
費用
99万円(税込)
治療期間
11ヶ月
リスク・副作用
矯正終了後、後戻り防止のため一定期間のリテーナー装着が必須。
担当歯科医師
上大岡院 池 洋典
Flowマウスピース矯正の治療の流れ
01無料相談/簡易シミュレーション
まずは無料相談を行い、現在の歯並びや噛み合わせの状態を確認します。
精密検査の前に簡易シミュレーションを行い、イメージを把握していただきます。
疑問や不安を解消するためのカウンセリングも行い、矯正治療の必要性やメリットについて丁寧にご説明します。
02精密検査
より正確な治療計画を立てるために、レントゲン撮影や口腔内スキャンを行い、歯や顎の状態を精密に検査します。
歯並びだけでなく、骨格や噛み合わせも確認し、矯正に適した状態かどうかを診断します。これにより、一人ひとりに合った最適な治療方針を決定することができます。
03プラン立案/費用・期間の見積もり
精密検査の結果をもとに治療計画を立案し、矯正の進め方や治療期間、費用について詳しくご説明します。
マウスピース矯正は症例によって費用や期間が異なるため、患者さまの希望やライフスタイルに合わせたプランを提案します。
04矯正スタート
患者さま専用のマウスピースが完成したら、装着方法や交換のスケジュールを説明し、矯正治療がスタートします。
1週間~2週間ごとにマウスピースを交換し、歯を少しずつ移動させます。
正しく装着することで、スムーズに歯が動き、治療の効果が最大限に発揮されます。
05定期的な調整/経過の観察
矯正期間中は、定期的に歯科医院で経過をチェックします。約1.5ヵ月~3ヵ月ごとに通院し、歯の動きや噛み合わせの変化を確認しながら必要な調整を行います。
問題がなければそのまま計画通りに進め、治療終了後は後戻りを防ぐためのリテーナーを使用し、歯並びを維持します。
Consultation無料相談のご案内

エス歯科グループでは、矯正歯科(歯列矯正)をご検討中の方に向けて、矯正専門の歯科医による無料相談を実施しています。
相談では、治療の流れ・期間・費用などについて、患者さま一人ひとりの疑問や不安に丁寧にお答えします。
さらに、最新の口腔内スキャナー「iTero」を用いた無料の簡易シミュレーションを実施します。
治療前後の歯並びの変化をその場で確認できるため、具体的なイメージを持ったうえで安心して治療を始められます。
歯並びにお悩みの方や、他院で迷われている方も、まずはお気軽にご相談ください。
iTeroによる高精度シミュレーション
Peace of mind安心して治療を受けていただくために
当院では、患者さまがより安心して矯正治療が受けられるように次のような環境をご用意しています。
01先進的な医療設備
エス歯科クリニックでは、常に新しい技術と先進的な医療設備を積極的に取り入れ、精密で質の高い治療を実現しています。
他院では治療が難しいと判断される複雑な症例にも対応してきた豊富な実績があり、多くの患者さまにご満足いただいています。
高度な設備と技術で、患者さま一人ひとりに最適な歯科医療を提供します。
02メンテナンスの充実/衛生士のレベル
エス歯科クリニックでは、治療後の健康を長く保つためのメンテナンスにも力を入れています。
経験豊富な歯科衛生士が、一人ひとりのお口の状態やライフスタイルに合わせて、最適なケアプランをご提案。
専門的な技術と知識をもとに、歯周病や虫歯の再発を防ぐためのクリーニングやブラッシング指導を丁寧に行っています。
03清潔な治療環境
エス歯科クリニックでは、滅菌対策を徹底しています。
高水準の自動洗浄機と滅菌器を導入し、すべての医療器具を清潔・安全に管理。
患者さまに安心して治療を受けていただける環境づくりに努めています。
Price
料金
| 矯正相談 | 無料 |
|---|---|
| 精密検査 | 【期間限定・6月末まで】 精密検査割引キャンペーン中 ※条件あり |
マウスピース矯正(インビザライン)
| 簡易シミュレーション | 無料 |
|---|---|
| インビザラインフル | 800,000円~1,300,000円 |
| インビザラインライト | 350,000円~700,000円 |
| インビザラインファースト (1期/2期治療) |
600,000円 |
| 保定装置 (ビベラリテーナー)3セット |
66,000円 |
| 保定装置(小児) | 33,000円~66,000円 |
| 光加速矯正装置(PBMヒーリングオルソ) | インビザライン成約者限定 60,000円 |
| ホームホワイトニングジェル | 1本 3,300円 |
loanデンタルローン
当院では、治療費のお支払いに「デンタルローン」をご利用いただけます。
デンタルローンとは、歯科治療費を分割でお支払いいただける制度になります。
「費用が高額で治療を諦めてしまうかもしれない」と感じていた方でも、無理なく計画的にご負担いただけます。
エス歯科クリニックでは、最大24回まで無金利でデンタルローンをご利用いただけます。
Insuranceマウスピース矯正への保険適用について
マウスピース矯正は、原則として健康保険の適用外となる自費診療です。
どの歯医者で矯正治療を受けても自費診療であることは変わらず、基本的に治療費は患者さまご自身の全額負担となります。
自費診療とは、保険適用外の治療法や材料を用いた診療を指し、使用する装置や治療法、治療計画などを自由に選べる反面、費用が高くなる傾向があります。
矯正治療の場合は、厚生労働省が定める特定の症例(例えば顎変形症、先天性疾患による咬合異常など)で、医療機関が保険適用の指定を受けている場合に限り、保険が使えるケースもあります。
しかし、マウスピース矯正で保険適用が認められるケースは稀です。
自費診療の場合は、歯医者によってマウスピース矯正の費用や通院費などが異なるため、カウンセリングの際によく確認しておきましょう。
Termマウスピース矯正の治療期間と保定期間
マウスピース矯正には、歯を動かす「治療期間」と、歯並びを安定させる「保定期間」の2つの大切なステップがあります。
それぞれの目的と期間を理解した上で、矯正治療を進めることが大切です。
マウスピース矯正の治療期間と保定期間について、詳しく確認してみましょう。
治療期間
マウスピース矯正の治療期間は、症例や歯並びの状態によって異なりますが、一般的には6ヶ月〜2年程度が目安です。
歯を動かす期間であることから「動的期間」とも呼ばれます。
治療期間は、軽度な歯列の乱れであれば比較的短期間での改善が期待できますが、噛み合わせの調整や抜歯を伴う場合は1年半以上かかることもあります。
マウスピースは段階的に交換しながら歯を少しずつ動かしていくため、毎日の装着時間(20時間以上)を守れるかどうかが治療期間に大きく影響します。
治療期間を長引かせないためにも、自己管理をしっかり行い、計画的に治療を進めていくことが大切です。
保定期間
矯正治療が終了してから整った歯並びと噛み合わせを安定させる期間を保定期間といいます。
歯には後戻りという性質があり、矯正装置を外した直後の1年近くは歯がもとにあった位置に戻ろうとする動きが働きやすくなります。
その期間、リテーナーと呼ばれる保定装置を使用して歯を矯正後の位置で安定するようにします。
リテーナーの使用方法
基本的には保定期間中は毎日の着用が大切です。
食事や歯磨き以外の時は装着しましょう。
リテーナーの使用期間
患者さまごとの矯正に要した期間によって異なりますが、平均1年近くの装着が必要になります。
担当医師の指示のもと、定められた期間使用するようにしましょう。
リテーナーの装着期間は、基本的に歯を動かした期間と同じくらいの期間を要します。
Technologyマウスピース矯正の期間を早める技術
矯正治療をできるだけ短期間で終えたいとお考えの方へ向けて、
当院では最新のテクノロジーを活用した治療期間短縮のための方法をご用意しております。
デジタル口腔内スキャナー「iTero」と光加速装置を用いることで、従来よりも効率的な治療を実現しております。
iTeroについて

iTero(アイテロ)は、マウスピース矯正「インビザライン」を提供するアライン・テクノロジー社が開発したデジタル口腔内スキャナーです。
従来のように粘土状の印象材で型どりを行う必要がなく、精度の高い3Dデジタルデータを短時間で取得できる点が特徴です。
高精度なスキャン
高解像度の3Dスキャンにより、歯並びや噛み合わせを詳細に確認が可能。
これにより、より正確な治療計画を立てることができます。
短時間でのスキャンが可能
従来の型どりよりも圧倒的にスピーディーで、わずか数分で完了。
患者さまの負担を大幅に軽減します。
リアルタイムでの画像投影
スキャン結果はモニターに即時投影されるため、その場で仕上がりのイメージを確認しながら説明を受けられるのも大きなメリットです。
アタッチメント

アタッチメントとは、歯の表面に付ける小さな樹脂製の突起で、マウスピースが歯にしっかりと力を伝えられるようにする補助装置です。
とくに回転しにくい歯や動きにくい歯を効率的に移動させる際に有効で、矯正期間の短縮にもつながります。
歯の色に近い素材で作られているため、見た目も自然で目立ちにくいのが特徴です。
アタッチメントの有無によって、マウスピース矯正の効率は大きく変わるため、精密な治療計画の中で適切に設置されます。
光加速装置について

エス歯科グループでは、矯正期間の短縮と痛みの軽減をサポートする光加速矯正装置「PBMヒーリングオルソ」を導入しています。
近赤外線の光を歯ぐきに照射することで、代謝や治癒を促進し、歯の移動をサポートします。
矯正期間を最大1/2に
通常は1週間〜10日ごとのマウスピース交換が必要ですが、光加速装置を使用すると最短3日で交換可能になるケースもあります。
(※効果には個人差あり)
歯を動かす痛みを軽減
光の作用により炎症が抑えられ、歯を動かす際の痛みが軽減されるといわれています。
自宅で簡単に使用可能
マウスピースを装着したまま、1日8分、口にくわえるだけで使用可能。
小型で持ち運びも便利なため、旅行や出張時も続けやすい装置です。
FAQマウスピース矯正でよくある質問
-
被せ物がありますが、マウスピース矯正できますか?
-
被せ物があってもマウスピース矯正は可能です。
しかし、歯を動かす過程で被せ物が支障となる場合は、作り直しが必要になる場合もあります。
その際、矯正中は仮歯で過ごしていただき、歯の移動が完了してから新しい被せ物に作り変えます。
-
親知らずは必ず抜く必要がありますか?
-
矯正時に必ずしも親知らずを抜く必要はありません。
矯正を行う上で妨げになる場合や虫歯などに侵されている場合には抜歯を行うことがあります。
-
通院頻度はどのくらいですか?
-
マウスピース矯正は1~2ヶ月に1回の通院目安となります。
通院期間が通常よりも空いてしまうと、計画通りに歯を動かせない場合があります。
-
治療費用の分割払いはできますか?
-
エス歯科グループでは、いくつかの分割払いのシステムをご用意しています。
患者さまのライフスタイルに合わせて、最適なプランをご紹介させていただきます。
-
マウスピースの装着時は飲食可能ですか?
-
お水であればマウスピースを装着したまま飲んでいただいても問題ありません。
お茶なども装着したまま飲むことは可能ですが、マウスピースの汚れなどにつながるため、なるべく外してから飲むことを推奨します。
食事の時には、外すようにしましょう。
装着したまま食べ物を咀嚼するとマウスピースの破損につながります。
-
マウスピースの装着による発音への影響は?
-
新しいマウスピースを装着してから2~3日は多少の違和感によって発音に影響が出る場合もありますが、次第に慣れてきます。
-
虫歯や歯周病があってもマウスピース矯正できますか?
-
虫歯や歯周病などの病気がみられる場合には、まず病気の治療を優先します。
それらを解消してからマウスピース矯正を実施します。
-
マウスピースを紛失したらどうしたらいいですか?
-
使用中のマウスピースを紛失した場合には、まずはその前後のマウスピースを装着してください。
その後、速やかに紛失したことをお知らせください。
なるべくマウスピースを装着しない時間を減らすようにしましょう。
-
マウスピース矯正に保険は適用されますか?
-
マウスピース矯正に限らず、どの矯正治療でも基本的には保険適用外の自費診療となります。
ですが、1年間の医療費の総額が基準額を超えている場合、「医療費控除」に該当する場合もあります。
該当する場合、申請をすることで費用の還付を受けられます。
Doctor's messageドクターメッセージ

当院では、3Dスキャナー「iTero Element(アイテロエレメント)」の導入により、快適で精密、高速に歯型をとることができます。歯並びをスキャンしたデータをもとに、術後のシミュレーションも確認可能です。
矯正で使用するマウスピースは透明なため、ワイヤー矯正のように目立たずに治療できることが最大のメリットです。
ご自身で簡単に着脱が可能なため、ストレスなく口腔内を健康に保てます。
これまで積み重ねてきた豊富な治療実績と経験から、すべての患者さまに自信を持って矯正治療をご提供いたします。
横浜エス歯科クリニック 院長
粟野 祐司
About us当院のご紹介
01東京・神奈川に6店舗を展開するグループ
エス歯科クリニックは、東京・神奈川に全6院を構えるグループ院です。
各院にマイクロスコープやCTなどの精密機器を完備し、質の高い治療を安定的に提供できる体制が整っています。
他院にはないグループ連携による技術力と安心感が強みです。
02横浜駅東口から徒歩2分!
横浜エス歯科クリニックは、横浜駅東口から徒歩2分とアクセス抜群です。
当日の空き状況によっては、急なご予約にも柔軟に対応可能です。
お仕事帰りや買い物ついでにも立ち寄れる便利な立地です。
03完全個室で安心のプライベート空間
当院の診療室は全室が完全個室です。
周囲の目を気にせず、治療中もリラックスできる空間です。
ちょっとした疑問や不安も気兼ねなく相談しやすく、プライバシーを大切にしたい方にも最適な環境が整っています。
最適かつ高精度な治療を
みなさまに
エス歯科グループでは、豊富な知識と経験を積んだドクターが
あなたに合った最適かつ高精度な治療を提供いたします。
機能的治療から審美的治療までお口に関するお悩みは何でもご相談ください。
監修者情報
- 横浜エス歯科クリニック 院長 粟野 祐司
- [資格]
・厚生労働省認定歯科医師臨床研修医指導医
・Branemark Inplant system Certificate 取得
・POI Implant system Certificate 取得
・American microscope root canal treatment course Certificate 取得
・南カリフォルニア大学歯学部(USC)Japan Program 修了
・CAMLOG implant expert Course 修了
・インビザライン 認定医(マウスピース矯正)
・Jリーグ 横浜FC 公認クラブデンティスト
[学会]
・日本口腔インプラント学会 所属
略歴 Profile
ドクターコメント Doctor comment
関連ブログ
BLOG
新人向けインビザライン勉強会を実施しました
他院で入れたインプラントが痛い・動く!横浜でやり直...
2026年度 入社式・入社講習会
皆さんは定期的に歯医者さんに行って健診を受けていま...
フロスは毎日必要?
舌苔美人のご紹介
“エアフロー”について
電動ブラシがリニューアルしました!
横浜エス歯科クリニック
- 住所
-
〒220-0011
神奈川県横浜市西区高島
2-18−1 そごう横浜 9階/8階
- 最寄駅
-
横浜駅 東口より徒歩2分
- 駐車場
-
そごう横浜のパーキング館など、周辺の駐車場をご利用ください。
- 支払い方法
-
現金/クレジットカード/PayPay
| 月 | 火 | 水 | 木 | 金 | 土 | 日 | 祝 | |
|---|---|---|---|---|---|---|---|---|
| 10:00〜13:30 | ● | ● | ● | ● | ● | ◎ | ◎ | ✕ |
| 14:30〜20:00 | ● | ● | ● | ● | ● | ▲ | ■ | ✕ |
- お電話でのお問い合わせ
-
045-620-0600
- ご予約はこちら
- WEB初診予約


