インプラントオペ
			
			 / 
											
	こんにちは!
歯科医師の津川です。
最近は暑いだけでなく湿気もあって過ごしにくい日が続いていますが、みなさん体調はいかがでしょうか?
新型コロナも流行っていますし、体調をくずさないように気を付けてくださいね!
さて、今回はインプラントオペについてです。
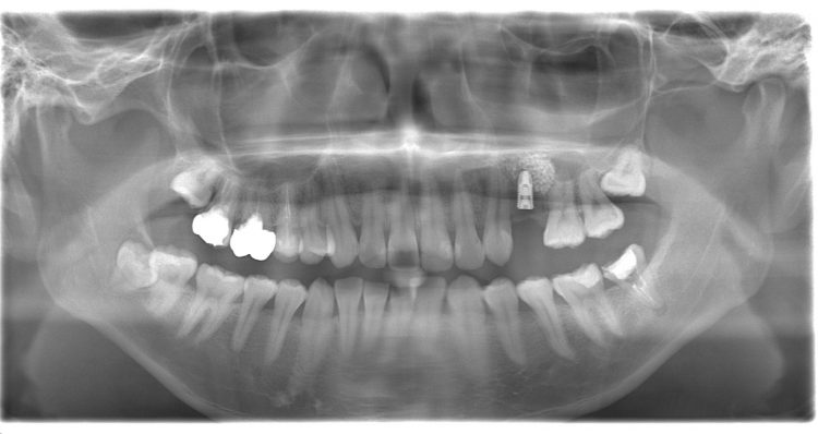
左上の4番目、5番目の歯並びが悪く、重なり合ってしまい大きな虫歯になっていました。
2本とも抜歯し、インプラントを入れることになりました。
今回は骨を増やすためのサイナスリフトという処置も併用して、一定以上の長さのインプラントを入れられるようにしました。
<初診時>
<抜歯後・オペ前>
<オペ後>
オペ後は腫れもあまりなく、経過良好でした。
当院では骨が少ない状態でもインプラントを入れることが可能です。
ご相談はいつでも、お気軽にして下さい!
歯科医師 津川
				



