「KANAGAWA 看護だより」にエス歯科グループ総院長白井の記事が掲載されました!
2023年2月 「KANAGAWA 看護だより」にエス歯科グループ総院長白井の記事が掲載されました! 「看護だより」は神奈川県看護協会が発行する看護・医療・健康などに関する情報をお届けする広報誌です。 &n […]
2023年2月 「KANAGAWA 看護だより」にエス歯科グループ総院長白井の記事が掲載されました! 「看護だより」は神奈川県看護協会が発行する看護・医療・健康などに関する情報をお届けする広報誌です。 &n […]
こんにちは! ここ数ヶ月はコロナだけでなくインフルエンザの流行もあり、 体調管理に気が抜けない毎日ですね。 まだまだマスクは必需品ですが、 長いマスク生活のせいか私はここ最近顔のたるみが気になるようになってきました… マ […]
こんにちは! 今日は子供の歯についてのお話です♪ 小さなお子様がいらっしゃる患者様に「子どもの歯科検診っていつから通えばいいの?」と質問を受けることがあります。 赤ちゃんの乳歯は一般的に生後6ヶ月〜9ヶ月で生え始め、 3 […]
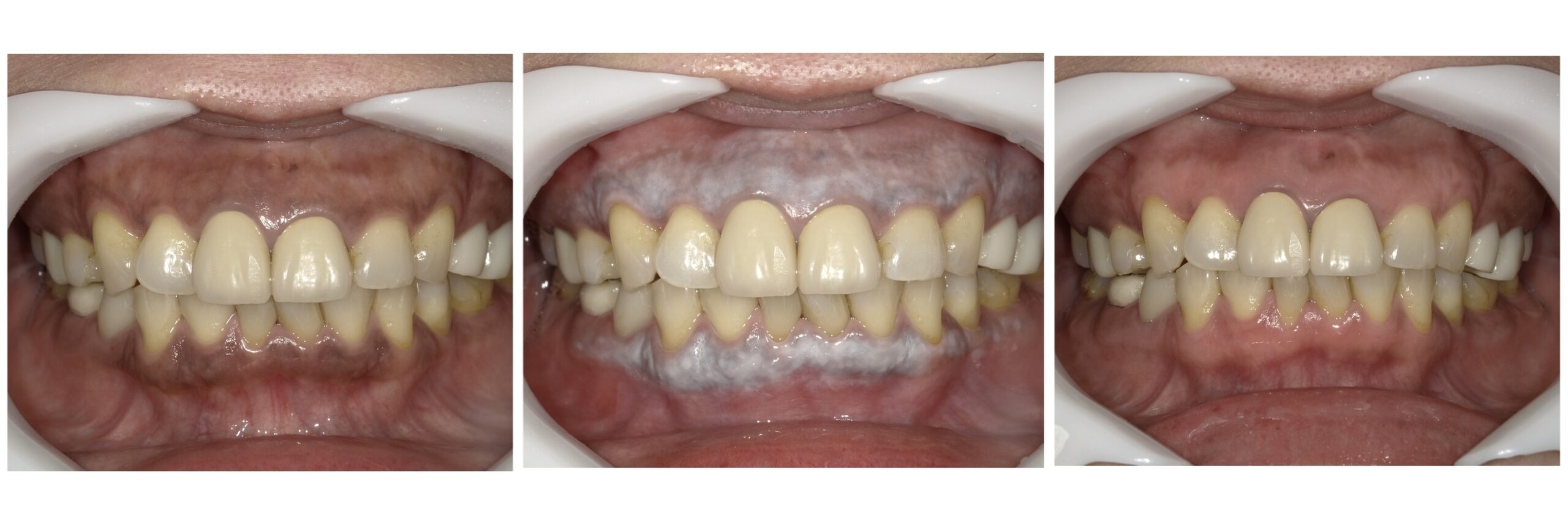
今回は「ガムピーリング」についてお話しさせていただきます! ガムピーリングとは 黒くなった歯茎をピンク色に戻す処置のことを言います。 歯ぐき(ガム)にフェノール剤という薬剤を塗り、タンパク質を変性させることで、 歯ぐきを […]
こんにちは! 歯科衛生士副主任の青木です。 今回は精密歯周病治療についてお話させて頂きます。 当院の精密歯周病治療では歯科衛生士が 一回あたり1時間をかけて行います。 ⭐︎局所麻酔下で行うので痛みがない ⭐︎精密歯周病治 […]
〒220-0011
神奈川県横浜市西区高島
2-18−1 そごう横浜 9階/8階
横浜駅 東口より徒歩2分
そごう横浜のパーキング館など、周辺の駐車場をご利用ください。
現金/クレジットカード/PayPay
| 月 | 火 | 水 | 木 | 金 | 土 | 日 | 祝 | |
|---|---|---|---|---|---|---|---|---|
| 10:00〜13:30 | ● | ● | ● | ● | ● | ◎ | ◎ | ✕ |
| 14:30〜20:00 | ● | ● | ● | ● | ● | ▲ | ■ | ✕ |
045-620-0600
WEB予約
LINE予約
お電話