全顎的なセラミック治療によって、審美及び機能咬合回復を行った症例
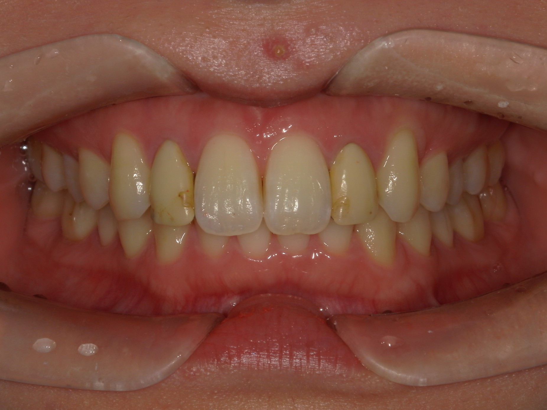
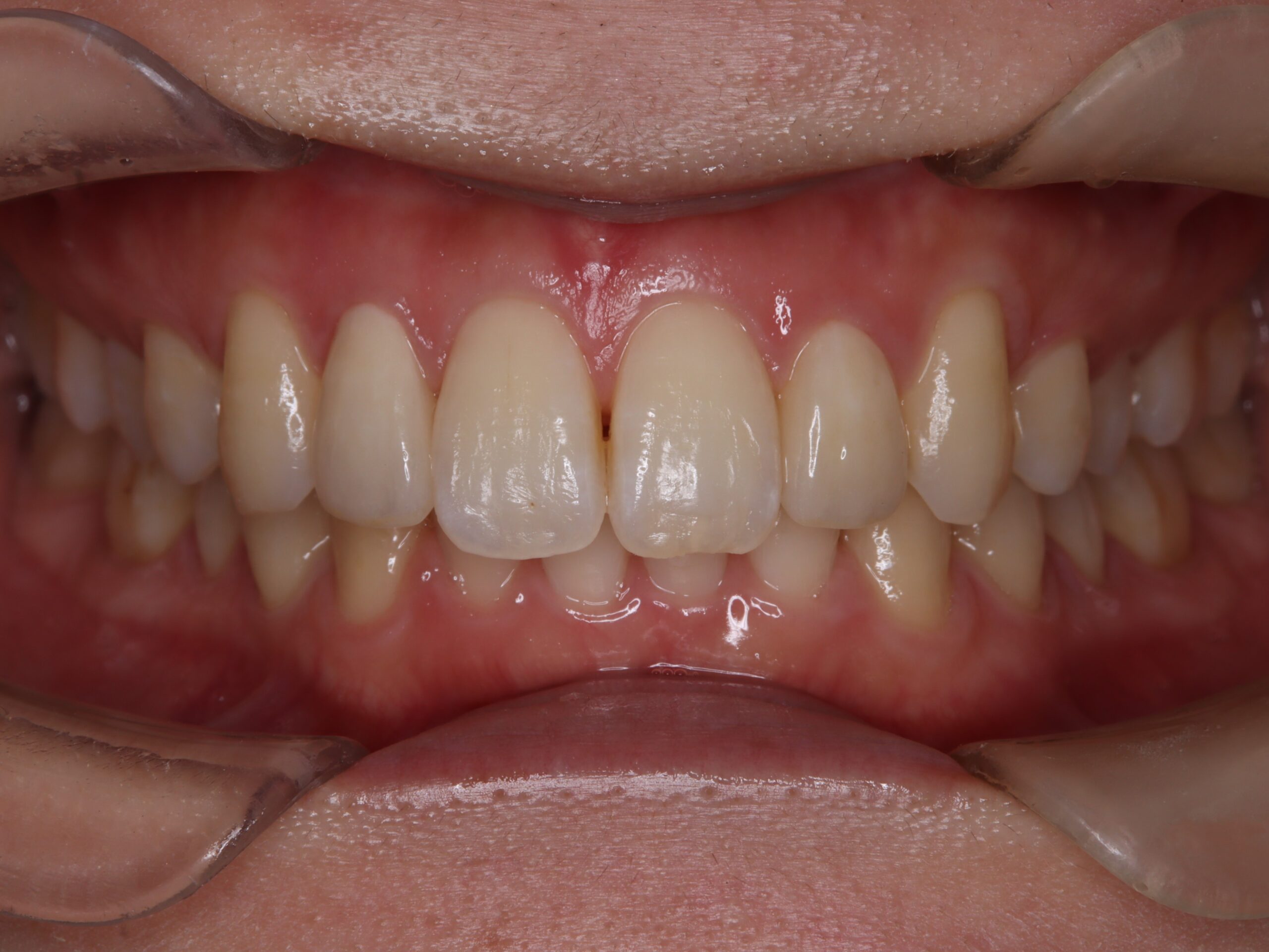
審美歯科根管治療歯周病患者様情報 40代男性 患者様のお悩み 見栄えが気になる、噛み合わせが気になる 治療概要 詰め物・被せ物 提案内容 全顎的に歯が噛耗しており審美的にも、機能的にも改善が必要な状態であった為、全顎的な補綴治療を提案させてい […]

患者様情報 40代男性 患者様のお悩み 見栄えが気になる、噛み合わせが気になる 治療概要 詰め物・被せ物 提案内容 全顎的に歯が噛耗しており審美的にも、機能的にも改善が必要な状態であった為、全顎的な補綴治療を提案させてい […]
患者様情報 30代男性 患者様のお悩み クリーニング、歯を白くしたい 治療概要 歯周病治療、ホワイトニング 提案内容 初診時、ブラッシング時の出血の訴えがあり、全顎的に歯肉が腫れていたため、歯周基本治療で口腔内環境を改善 […]
患者様情報 20代男性 患者様のお悩み 前歯がしみる 治療概要 虫歯治療、詰め物・被せ物、根管治療 提案内容 主訴である右上前歯は10代で外傷の既往があり、変色、亀裂がみられました。 歯の神経が死んでしまっている可能性を […]
患者様情報 40代女性 患者様のお悩み 古い詰め物の変色、歯の色が気になる 治療概要 ラミネートベニア 提案内容 前歯の古いレジンの詰め物が劣化により変色しており、患者様も見た目の変化を気にしていました。 Cr、ラミネー […]
患者様情報 20代女性 患者様のお悩み 変色したかぶせ物を変えたい 治療概要 詰め物・被せ物 提案内容 中央の前歯の両隣の歯は、元々のレジン前装冠が劣化により変色して周囲の歯との色調の差が出ていたので、色味や形態を天然歯 […]
患者様情報 20代女性 患者様のお悩み 八重歯が気になる、できればマウスピース矯正で治したい 治療概要 インビザライン・マウスピース矯正、ホームホワイトニング 提案内容 歯が並ぶスペースが不足していることで歯列の叢生(で […]
治療概要 インビザライン・マウスピース矯正 患者様のお悩み 前歯のガタガタが気になる 矯正の期間とタイミングを聞きたい マウスピース矯正がいいが、ワイヤー矯正との違いについて知りたい 提案内容 現状の噛み合 […]
患者様情報 20代男性 患者様のお悩み 前歯が気になる 治療概要 インビザライン矯正、審美歯科 提案内容 まずは虫歯の治療を優先的に行い、その後、仮歯を使いながら噛み合わせのバランスを丁寧に整え最終的には、 […]
患者様情報 50代男性 患者様のお悩み 前歯部動揺と歯周病 治療概要 歯の動揺が大きくなり、食事が十分にできず困っていました。他院でインプラント相談をしたところ、インプラントの埋入は難しいと診断されたため、 […]
〒220-0011
神奈川県横浜市西区高島
2-18−1 そごう横浜 9階/8階
横浜駅 東口より徒歩2分
そごう横浜のパーキング館など、周辺の駐車場をご利用ください。
現金/クレジットカード/PayPay
| 月 | 火 | 水 | 木 | 金 | 土 | 日 | 祝 | |
|---|---|---|---|---|---|---|---|---|
| 10:00〜13:30 | ● | ● | ● | ● | ● | ◎ | ◎ | ✕ |
| 14:30〜20:00 | ● | ● | ● | ● | ● | ▲ | ■ | ✕ |
045-620-0600
WEB予約
LINE予約
お電話