220-0011
神奈川県横浜市西区高島
2-18−1 そごう横浜 9階/8階

電話マーク

お電話

メニュー

メニューから探す

根管治療に関する症例一覧

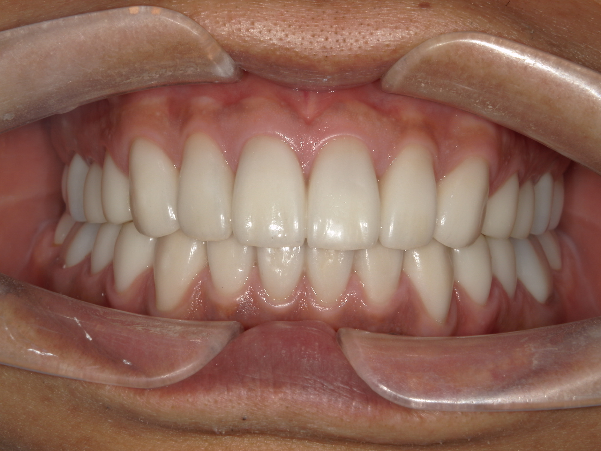
左上前歯の再根管治療

治療期間の目安
1ヶ月
治療回数の目安
3回
治療費総額の目安
9万円

治療概要 精密根管治療 40年前に治療した左上前歯の被せ物が合わなくなったので、根っこの治療からやり直しました。 元々はお薬が不十分だったので、根っこの先まで歯科用顕微鏡を用いて洗浄し、お薬を詰めています。 精密根管治療 […]

詳細を見る

抜歯対象の歯をマイクロを用いて根管治療することで保存させた症例

治療期間の目安
1ヶ月
治療回数の目安
3回
治療費総額の目安
15万円

患者様情報 40代女性 治療概要 マイクロを用いることで、本来の根管を見つけ、パーフォレーション部分をリペアしました。 精密根管治療について 治療費用(税込)・期間 15万円/約1カ月・3回 リスク・副作用 再感染、歯根 […]

詳細を見る

根尖周囲炎による歯肉腫脹及び痛みに対する根管治療

治療期間の目安
1ヶ月
治療回数の目安
4回
治療費総額の目安
2万円

患者様情報 50代男性 治療概要 歯髄が失活している根管に対して根管治療を行い、機能的にも回復させるため、コア・クラウンにて修復しました。 精密根管治療について 治療費用(税込)・期間 1万3千円/約1ヵ月・4回 リスク […]

詳細を見る

進行した虫歯に対しての精密根管治療

治療期間の目安
1ヶ月
治療回数の目安
3回
治療費総額の目安
17万円

患者様情報 40代女性 治療概要 虫歯が進行し、神経が失活・周囲の骨吸収が進んでいる歯に対して精密根管治療を行いました。(根管治療終了後に補綴治療を行っています) 精密根管治療について 治療費用(税込)・期間 165,0 […]

詳細を見る

根尖性歯周炎に対しての感染根管再治療

治療期間の目安
1ヶ月
治療回数の目安
3回
治療費総額の目安
11万円

患者様情報 70代女性 治療概要 一度根管治療を行った歯の症状の再発、再感染に対して精密根管治療を行いました。(根管治療終了後に補綴治療を行っています。) 精密根管治療について 治療費用(税込)・期間 11万円/約20日 […]

詳細を見る

前歯部の変色に対して根管治療を行い、セラミックの被せ物、ダイレクトボンディングで最小限の侵襲で審美性及び機能性を得た症例

治療期間の目安
1ヶ月
治療回数の目安
4回
治療費総額の目安
21万円

患者様情報 20代男性 患者様のお悩み 前歯がしみる 治療概要 虫歯治療、詰め物・被せ物、根管治療 提案内容 主訴である右上前歯は10代で外傷の既往があり、変色、亀裂がみられました。 歯の神経が死んでしまっている可能性を […]

詳細を見る

マウスピース矯正とセラミックの被せ物を用いて審美的、機能的に回復させた症例

治療期間の目安
3年2ヶ月
治療回数の目安
40回
治療費総額の目安
212万円

  患者様情報 20代女性 患者様のお悩み 歯茎にできものができた、虫歯治療したい 歯並びも気になってる 治療概要 虫歯治療、詰め物・被せ物、根管治療、インビザライン、クリーニング、ホワイトニング 提案内容 虫 […]

詳細を見る

全顎的なセラミック治療によって、審美及び機能咬合回復を行った症例

治療期間の目安
6ヶ月
治療回数の目安
10回
治療費総額の目安
308万円

患者様情報 40代男性 患者様のお悩み 見栄えが気になる、噛み合わせが気になる 治療概要 詰め物・被せ物 提案内容 全顎的に歯が噛耗しており審美的にも、機能的にも改善が必要な状態であった為、全顎的な補綴治療を提案させてい […]

詳細を見る

左上奥歯他院で抜歯と言われた歯の根管治療

治療期間の目安
1ヶ月
治療回数の目安
4回
治療費総額の目安
17万円

治療概要 精密根管治療 左上6番が歯根破折の為抜歯。 同部病巣と左上7番根尖病巣が繋がっており7番部も予後不良であるが、根管治療で一度保存を試みる事に。 マイクロエンドで治療を行いました。 精密根管治療について 治療費用 […]

詳細を見る

Medical

当院は虫歯・歯周病の治療からインプラント、矯正、予防歯科、顕微鏡治療まで幅広い診療項目に対応しています。

美容歯科アイコン

美容歯科

詰め物・被せ物アイコン

詰め物・被せ物

精密根管治療アイコン

精密根管治療

審美歯科アイコン

審美歯科

矯正歯科(歯列矯正)アイコン

矯正歯科(歯列矯正)

インプラントアイコン

インプラント

精密入れ歯アイコン

精密入れ歯

一般歯科アイコン

一般歯科

歯周病治療アイコン

歯周病治療

小児歯科アイコン

小児歯科

予防歯科アイコン

予防歯科

スポーツマウスガードアイコン

スポーツ
マウスガード

横浜エス歯科クリニック

住所

220-0011
神奈川県横浜市西区高島
2-18−1 そごう横浜 9階/8階

最寄駅

横浜駅 東口より徒歩2分

駐車場

そごう横浜のパーキング館など、周辺の駐車場をご利用ください。

支払い方法

現金/クレジットカード/PayPay

10:00〜13:30
14:30〜20:00
お電話でのお問い合わせ

045-620-0600

ご予約はこちら
WEB初診予約

BACK TO TOP

WEB予約アイコン

WEB予約

LINE予約アイコン

LINE予約

お電話アイコン

お電話