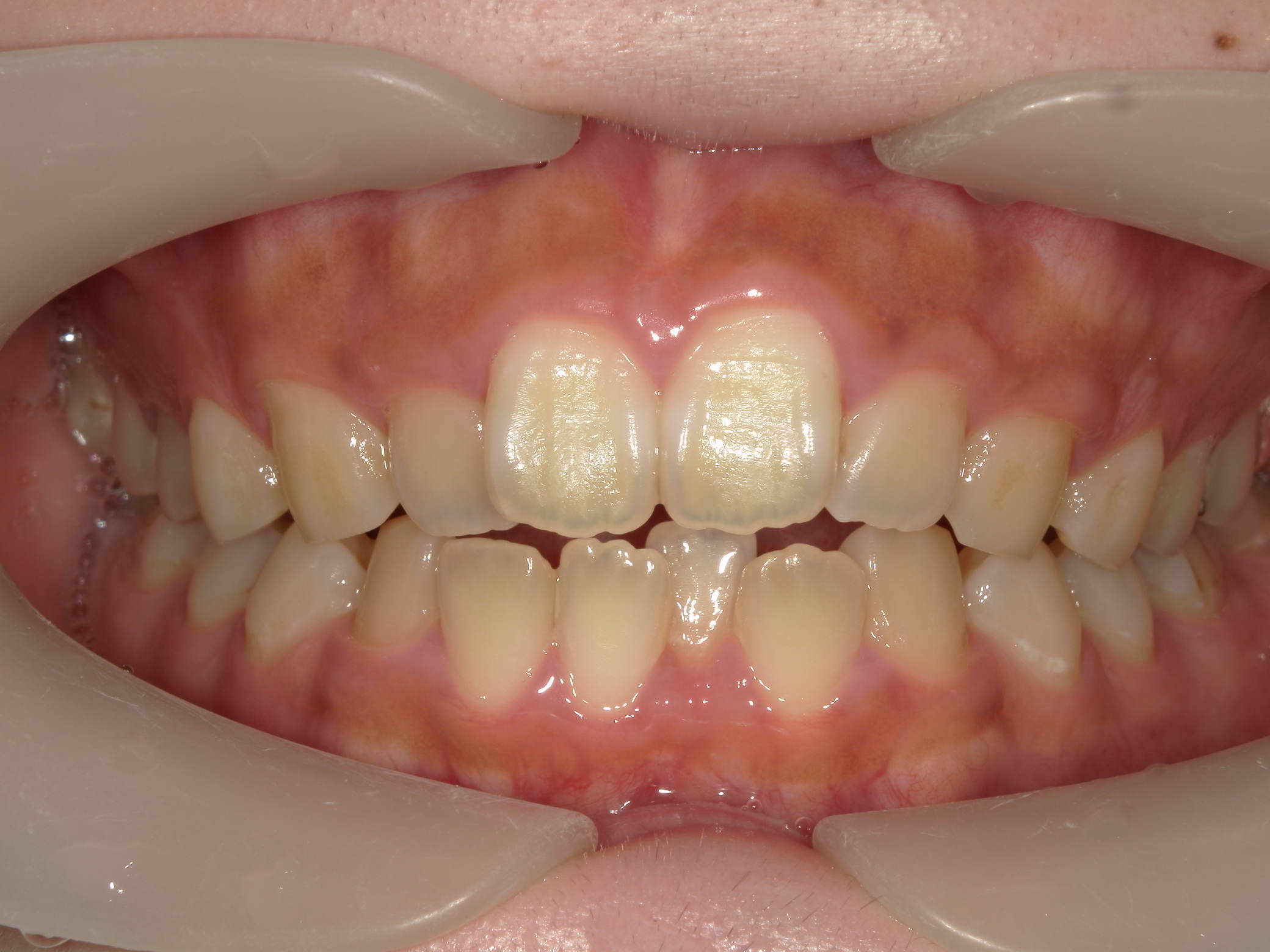
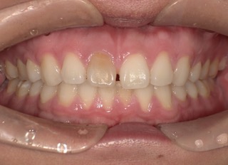
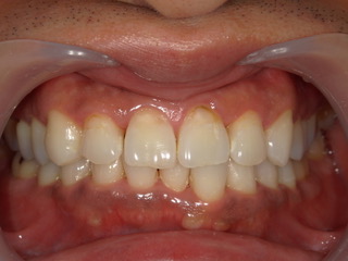
前の病院で埋入したインプラントを改善した症例
インプラント患者様のお悩み 前歯が折れた為インプラントを考えているが、前の病院で入れたインプラント治療のようにはなりたく無い 治療概要 インプラント・抜歯 前歯が折れたためインプラントを考えているが、前の病院で入れたイ […]

患者様のお悩み 前歯が折れた為インプラントを考えているが、前の病院で入れたインプラント治療のようにはなりたく無い 治療概要 インプラント・抜歯 前歯が折れたためインプラントを考えているが、前の病院で入れたイ […]
患者様のお悩み 奥歯欠損と噛み合わせ不良 治療概要 インプラント 奥歯の調子が悪く、インプラント治療を検討。他、全顎的な治療を希望とのことでご来院されました。 当院からは、まず破折している歯を抜歯し、その後 […]
患者様情報 60代女性 患者様のお悩み 前歯部動揺と下顎疼痛 治療概要 上顎前歯部の動揺と左下6番の疼痛にてご来院されました。全体的に歯周病や歯肉退縮、前歯部には歯根露出が見られました。患者様は全顎的な治療 […]
患者様情報 60代男性 患者様のお悩み 歯牙動揺による咀嚼障害 (欠損や動揺歯が多く噛めない、入れ歯で痛みが出る) 治療概要 前歯を含めた複数の部位で歯牙の自然脱落があり、どうにかしたいとご来 […]
患者様情報 60代男性 患者様のお悩み 全歯動揺と重度歯周病 治療概要 歯科へのトラウマが強く、口腔内に様々な症状がありながらも来院できずにいましたが、前歯喪失がきっかけとなりご来院されました。口腔内全体の […]
患者様情報 30代女性 患者様のお悩み 前歯が出っ歯になっている、噛み合わせが気になる 治療概要 出っ歯と噛み合わせが気になるということでこのまま治療しないと奥歯で噛むことになり、負担がかかり気になっている噛み合わせが悪 […]
治療概要 インビザライン・ホワイトニング・審美歯科 まず、矯正治療の前準備として、歯のクリーニング、虫歯と銀歯の治療を行い、虫歯治療終了後、目立たない矯正治療「インビザライン」を行いました。 それと同時にご […]
治療概要 精密根管治療 40年前に治療した左上前歯の被せ物が合わなくなったので、根っこの治療からやり直しました。 元々はお薬が不十分だったので、根っこの先まで歯科用顕微鏡を用いて洗浄し、お薬を詰めています。 精密根管治療 […]
〒220-0011
神奈川県横浜市西区高島
2-18−1 そごう横浜 9階/8階
横浜駅 東口より徒歩2分
そごう横浜のパーキング館など、周辺の駐車場をご利用ください。
現金/クレジットカード/PayPay
| 月 | 火 | 水 | 木 | 金 | 土 | 日 | 祝 | |
|---|---|---|---|---|---|---|---|---|
| 10:00〜13:30 | ● | ● | ● | ● | ● | ◎ | ◎ | ✕ |
| 14:30〜20:00 | ● | ● | ● | ● | ● | ▲ | ■ | ✕ |
045-620-0600
WEB予約
LINE予約
お電話