全顎的なセラミック治療によって、審美及び機能咬合回復を行った症例
患者様情報
40代男性
患者様のお悩み
見栄えが気になる、噛み合わせが気になる
治療概要
詰め物・被せ物
提案内容
全顎的に歯が噛耗しており審美的にも、機能的にも改善が必要な状態であった為、全顎的な補綴治療を提案させていただきました。噛み合わせが低くなっていた影響で、顎の関節にも症状が出ていた為、理想的な咬合高径に改善する事で症状の緩和を目指すことをご説明しています。
また補綴治療の前に根管治療、及び歯周状態改善を目指し歯周基本治療を行い、仮歯で噛み合わせを作っていく流れをご説明させて頂きました。
治療内容
まずは根管治療及び歯周基本治療を先行しました。その後、全体的な咬合安定化を目指し全ての歯を仮歯に置き換え、仮歯で理想的な咬合関係及び補綴形態を目指し調整を行っています。
咬合、形態が定まった所で最終補綴物に置き換えて仕上げています。
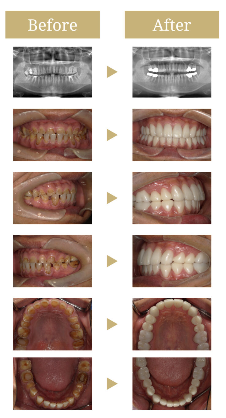
治療前の状態
全体的に咬耗に伴い咬合高径が下がり、一部神経露出から感染が起こっていました。
治療後の状態
補綴物を用い、思想的な高さと噛み合わせの位置が定まり、またアンテリアガイダンス(顎を動かす際、前歯(アンテリア)が動きを導く(ガイダンス)機能の事。この機能により、奥歯への負担が減り、歯並びや顎関節を長持ちさせることができます。)を付与することにより長期的な咬合の維持安定を目指して設計しています。
また審美的にもこだわり、形態・色調共に患者様と相談し理想的な補綴治療を行っております。
結果、大幅な改善となりましたが、患者様は大変満足されておりました。
治療費用(税込)
オールセラミッククラウン(ステイニング)
総額:3,080,000円
治療期間
6ヶ月
通院頻度
2週間に1回
治療回数
根の治療:2回
仮歯の調整:3回
被せ物治療:5回
リスク・副作用
過度な咬耗の為、元の歯が短く外れやすい可能性があります。
セラミックは強度に優れますが極度な咬合力で破折する可能性があります。
