前歯の八重歯に対するインビザライン矯正治療
患者様情報
20代女性
患者様のお悩み
八重歯が気になる、できればマウスピース矯正で治したい
治療概要
インビザライン・マウスピース矯正、ホームホワイトニング
提案内容
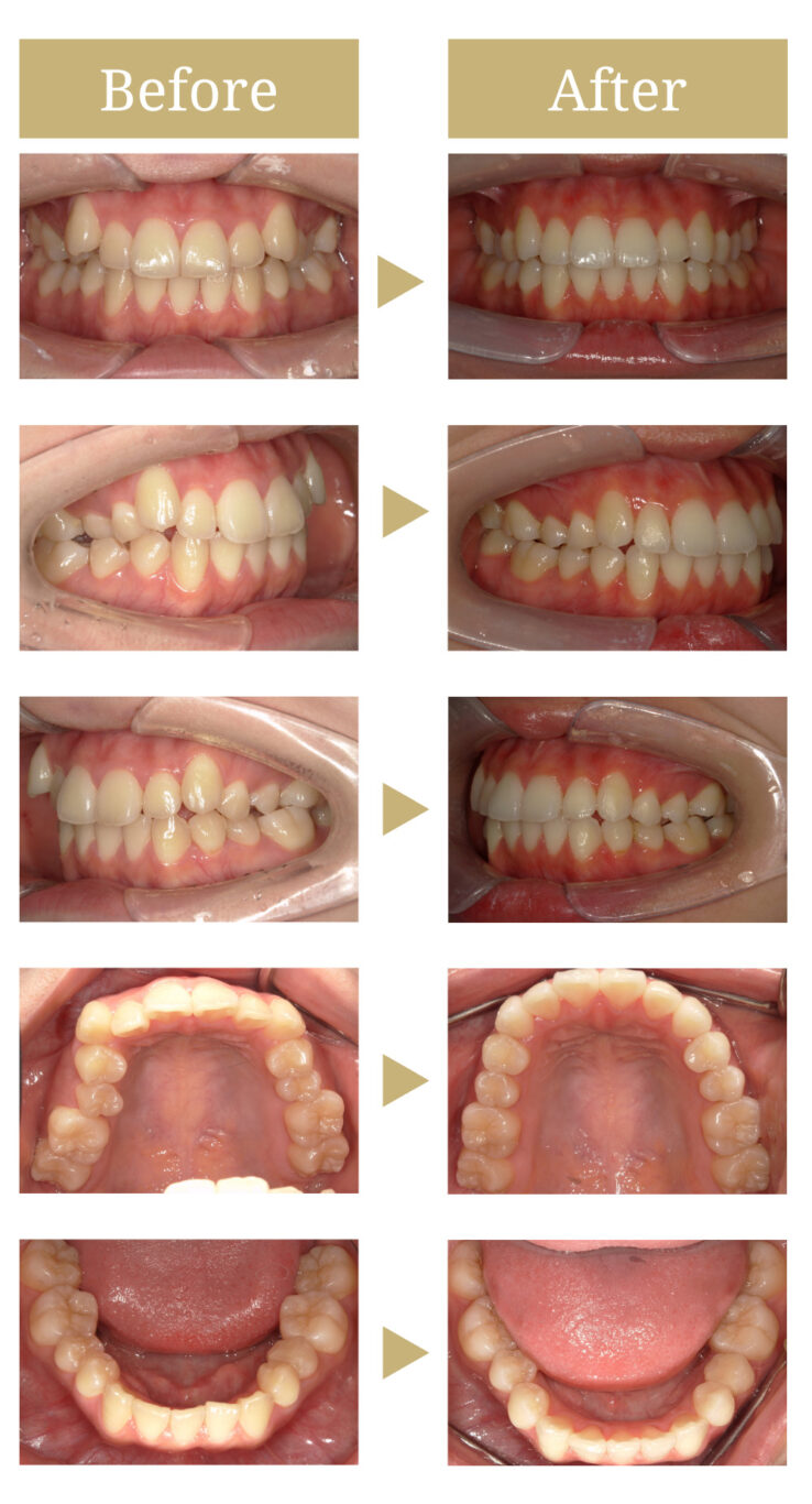
歯が並ぶスペースが不足していることで歯列の叢生(でこぼこ)が生じていました。
骨格的なズレはほぼなくマウスピースでの治療が可能であったためご提案しました。
マウスピース矯正と並行してホームホワイトニングをすることでさらに審美性が向上できることをお伝えし一緒に行いました。
治療内容
マウスピース矯正34枚のプランで治療を始めました。
適宜歯間調整処置を行い歯列を整えていきました。
途中ホームホワイトニングを1か月半ほど行いました。
歯列の叢生がなくなり、清掃性も向上し将来的な歯周病・虫歯のリスクも軽減させることができました。
また、噛み合わせのバランスが良くなったことで奥歯への余分な負荷を減らすことができています。
治療前の状態
全体的なセルフケアの状態は安定していましたが、前歯のねじれにより着色が付きやすいところがありました。
また、前歯の非接触部位が多いため奥歯に嚙み合わせの負荷がかかりやすい状態でした。
治療後の状態
歯列の叢生がなくなり、清掃性も向上し将来的な歯周病・虫歯のリスクも軽減させることができました。
また、噛み合わせのバランスが良くなったことで奥歯への余分な負荷を減らすことができています。
またホームホワイトニングを併用したことで歯の色も白くなり、患者様も口元に自信が持てるようになったと言っていただけました。
治療費用(税込)
精密診断費用:19,250円
矯正治療費:1,000,000円
リテーナー:44,000円
ホワイトニング薬液代:3300円×5本
総額:1,079,750円
治療期間
約8ヶ月
通院頻度
1ヶ月に1回
治療回数
約10回
アライナーの枚数
34枚
リスク・副作用
治療中は一時的な知覚過敏症状や咬合痛などの症状が出る可能性があります。
矯正治療終了後は後戻りを防止するためのリテーナーを装着する必要があります。

