220-0011
神奈川県横浜市西区高島
2-18−1 そごう横浜 9階/8階

電話マーク

お電話

メニュー

定期検診の大切さ

定期検診の大切さ

/

症状から記事を探す

みなさんこんにちは!

突然ですが、みなさんは定期検診の大切さを知っていますか?

正直私も一般の患者さんだったとして痛みがでたら行けばいいや〜と思っていたかもしれません。

しかし、歯科衛生士業務(歯のクリーニング・頑固な歯石除去・着色を綺麗に落とすなど)を

していくにあたってクリーニングや定期検診の大切さを感じました。

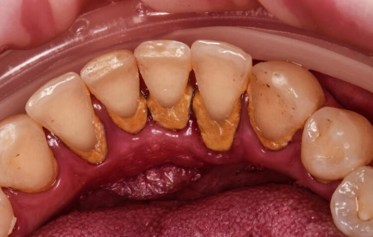
①歯石とは。

歯についた日頃の汚れ(プラーク)が長く放置されていて石灰化された乳白黄色の硬い石のようなもの。

 

②歯石はそもそもなぜついてしまうのか。

歯ブラシやフロスでのお掃除不足が主な原因ですが、

唾液の中のカルシウム濃度が高かったりタバコなどで着色がつき表面のざらつきによって

プラークがつきやすく石灰化しやすかったり、

歯並びが影響でつきやすい環境化の方もいらっしゃいます。

 

③歯石はなぜ取ったほうが良いのか。

歯石を放置してしまうとみるみる歯茎が発赤し、炎症によってもっと進行してくると

骨が溶け出して歯茎が下がり最終的には歯がぽろっと抜け落ちてしまう恐れがあります。

また歯石は口臭の原因にもなります。

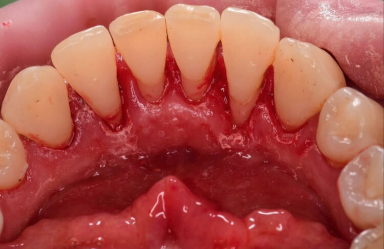
歯茎は一度下がるともとの位置には戻りません。

歯の本数がすくなくなっていくと噛む力も弱くなるため

固いものも噛めず好きなものも少しずつ食べられなくなり、

お食事の楽しみが減ることによりストレスもかかりやすくなります。

噛むことは唾液の分泌、顔の簡単なトレーニングにもつながっているため

自然と顔まわりの筋力も落ちてきてしまいます。

 

④結局クリーニングの大切さとは?

なぜ定期的なクリーニングが大切なのかと言いますと、

歯茎の中には嫌気性菌の歯周病菌がうじゃうじゃいます。

日頃の歯磨きは白い歯の部分しか大抵お掃除できていません。

そのため歯周病菌の数は自分のセルフケア(歯ブラシ・フロスなど)だけでは

やり方によっては減らないケースがほとんどです。

歯医者さんでのクリーニングは主に歯石除去・プラーク除去をし

歯茎の中の洗浄(歯周病菌も洗い流します)もかねてクリーニングをしています。

お家でのセルフケアはもちろん大切ですが、歯を少しでも長く健康に保つためには

定期的な虫歯のチェック、歯周病のチェック、歯石除去等を確認していくことが大切です

 

↓こちらがクリーニング積み重ねでの歯周病の菌の変化です。

 

定期的なクリーニングによって歯周病菌を減らし歯周病のリスクをガッと下げられます!

⑤自費クリーニング

保険のクリーニングもありますが当院では自費のクリーニングもご用意しています!最近こちらのメニューを選択する患者さんも増えてきています。ぜひ気軽にお話しききにきてください!

お待ちしております♪

衛生士 片石

BLOG

定期検診の大切さ 画像

定期検診の大切さ

受付スタッフ向け接遇研修を実施しました 画像

受付スタッフ向け接遇研修を実施しました

Dr白井 ノーベルバイオア インプラントコース開催 画像

Dr白井 ノーベルバイオア インプラントコース開催

歯茎から膿が出るのはなぜ?原因と治療法、インプラントという選択肢 画像

歯茎から膿が出るのはなぜ?原因と治療法、インプラン...

歯茎が白いのは危険信号?デキるビジネスパーソンのための口腔ケア 画像

歯茎が白いのは危険信号?デキるビジネスパーソンのた...

放置は危険!歯周病「手遅れ」サインと横浜で選ぶべきインプラント 画像

放置は危険!歯周病「手遅れ」サインと横浜で選ぶべき...

老け顔の原因「歯茎下がり」を改善!審美歯科で若々しい笑顔へ 画像

老け顔の原因「歯茎下がり」を改善!審美歯科で若々し...

口腔粘膜疾患や感染対策に関する院内講義を実施しました 画像

口腔粘膜疾患や感染対策に関する院内講義を実施しまし...

Medical

当院は虫歯・歯周病の治療からインプラント、矯正、予防歯科、顕微鏡治療まで幅広い診療項目に対応しています。

矯正歯科(歯列矯正)アイコン

矯正歯科(歯列矯正)

美容歯科アイコン

美容歯科

審美歯科アイコン

審美歯科

インプラントアイコン

インプラント

精密入れ歯アイコン

精密入れ歯

一般歯科アイコン

一般歯科

歯周病治療アイコン

歯周病治療

精密根管治療アイコン

精密根管
治療

小児歯科アイコン

小児歯科

予防歯科アイコン

予防歯科

スポーツマウスガードアイコン

スポーツ
マウスガード

横浜エス歯科クリニック

住所

220-0011
神奈川県横浜市西区高島
2-18−1 そごう横浜 9階/8階

最寄駅

横浜駅 東口より徒歩2分

駐車場

そごう横浜のパーキング館など、周辺の駐車場をご利用ください。

支払い方法

現金/クレジットカード/PayPay

10:00〜13:30
14:30〜20:00
お電話でのお問い合わせ

045-620-0600

ご予約はこちら
WEB初診予約

BACK TO TOP

WEB予約アイコン

WEB予約

LINE予約アイコン

LINE予約

お電話アイコン

お電話