220-0011
神奈川県横浜市西区高島
2-18−1 そごう横浜 9階/8階

電話マーク

お電話

メニュー

インビザラインと虫歯の治療

インビザラインと虫歯の治療

/

こんにちは!

今回は虫歯の治療とインビザライン(マウスピース矯正)を行った患者様の症例をご紹介します!

 

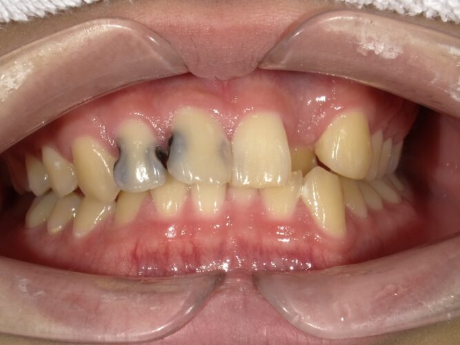
初診時のお写真です

 

右上の一番目の歯とその隣奥の歯は根っこの治療(根管治療)をして仮歯の状態です

 

矯正を始めて2ヶ月目の途中経過です

 

〜4ヶ月経過〜

 

5ヶ月で全て並び終えました!

そして仮歯だったところをセラミッククラウン(被せ物)にして

最終的なお写真がこちらになります。

 

最初と比べると別人のようにきれいになりましたね!!

 

ここまでご覧いただきありがとうございました!

歯が黒いな?虫歯かな?

歯並び今より綺麗にしたいな!

など、少しでも気になることがあればお気軽に当院にお越しください!

スタッフ一同心よりお待ちしております。

Medical

当院は虫歯・歯周病の治療からインプラント、矯正、予防歯科、顕微鏡治療まで幅広い診療項目に対応しています。

大人の歯列矯正アイコン

大人の歯列矯正

矯正歯科(歯列矯正)アイコン

矯正歯科(歯列矯正)

美容歯科アイコン

美容歯科

審美歯科アイコン

審美歯科

インプラントアイコン

インプラント

精密入れ歯アイコン

精密入れ歯

一般歯科アイコン

一般歯科

歯周病治療アイコン

歯周病治療

精密根管治療アイコン

精密根管
治療

小児歯科アイコン

小児歯科

予防歯科アイコン

予防歯科

スポーツマウスガードアイコン

スポーツ
マウスガード

横浜エス歯科クリニック

住所

220-0011
神奈川県横浜市西区高島
2-18−1 そごう横浜 9階/8階

最寄駅

横浜駅 東口より徒歩2分

駐車場

そごう横浜のパーキング館など、周辺の駐車場をご利用ください。

支払い方法

現金/クレジットカード/PayPay

10:00〜13:30
14:30〜20:00
お電話でのお問い合わせ

045-620-0600

ご予約はこちら
WEB初診予約

BACK TO TOP

WEB予約アイコン

WEB予約

LINE予約アイコン

LINE予約

お電話アイコン

お電話