セラミッククラウン
皆さんこんにちは!
今回は、当院での自由診療の被せ物について
お話しします♪
こちらの患者様は、右上の前歯が
食事中に噛むとズキっとするということで来院されました。
元々他院で詰め物が深くまで治療されてあり、
数年前に前歯に外傷がおよんだということで
歯には揺れがありました。
CTのお写真も撮らせていただき診断した結果、
歯は残すことが可能でしたが、
根に炎症がみられたため
神経治療から行いました。
神経治療を終えて、最終的なお薬をつめた後は
土台をたてて被せ物を被せます。
土台は、”ファイバーコア”という
金属を使用していなく歯に強い力が加わっても、
根が割れにくく歯に優しい土台が入っています↓
被せ物の種類は、セラミックを希望されたので、
隣在歯に合わせて写真を撮り、専門の技工士さんに
作製してもらいます。
患者様のご希望により色味や形の修正もできます!
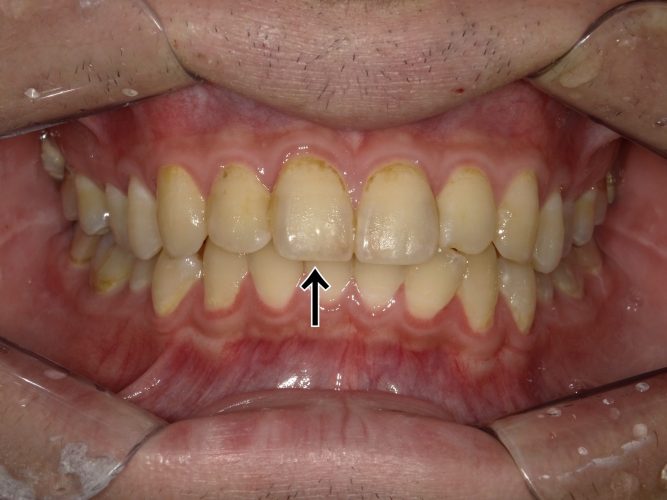
被せ物は、隣在歯ともなじんで綺麗に入ったので
患者様もとても喜んでくださいました!
被せ物についてお悩みのことがあれば
ぜひ気軽に当院でお話を聞いてみてください!
歯科衛生士 岡




