インプラントを併用した審美治療
みなさんこんにちは!
今日は、前歯が欠けてしまい被せ物とインプラントで修復した方の症例をご紹介させていただきます!
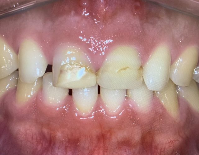
こちらが、初診でご来院いただいた時のお写真です↓欠けてしまった上の前歯2本は他院で応急的に詰め物がしてありました。
当院ではまずCTの撮影を行い、顕微鏡を使って状態を診断しました。
写真でみて右側の歯は、歯の根まで破折していたため抜歯が必要となり、インプラント埋入を行いました。
ブリッジにて歯を入れる選択もありますが、「歯が長持ちする治療を優先して選びたい」という患者様のご希望によりインプラントに決定致しました。
左側の歯は、破折の可能性もありましたが、
「なるべく歯を残したい」
という患者様のご希望を尊重し、抜歯はせずに顕微鏡を使って精密に根の神経治療を行い土台をたてて被せ物にしました。
こちらは、最終的な被せ物が入るまで治療途中に入れていた仮歯です。↓
こちらが、最終的な被せ物が入った時のお写真です↓精密な型取りをし、2本とも同じ種類のジルコニアの被せ物が入っています。
現在は検診に通っていただいていますが、毎回とても綺麗にお掃除されていて順調です!
当院では最新機材を使用し、しっかりカウンセリングを行った上で治療方針を決めていきます。
また、インプラントをいれた後の定期的なチェックもしっかりと行っています。
何か気になることがございましたら、
ドクターやスタッフにお気軽にご相談ください!
歯科衛生士 岡




