詰め物の変色
/
みなさんこんにちは!
今回は詰め物のやり直しの症例です。
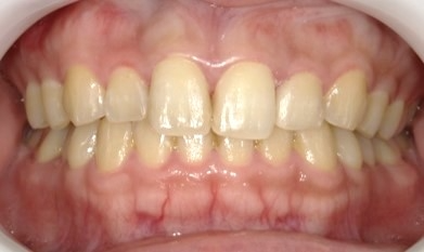
上の写真で上の前歯に詰めたプラスチックの材料が変色したり、詰め物がとれて穴があいたりしているのがわかるかと思います。
通常プラスチックの詰め物をした場合、経年変化で少なからず水分を吸収するので食べ物の色素が吸着してきてしまいます。
今回は保険適用外のグラディアCR(コンポジットレジン)というセラミックを配合させたプラスチックの詰め物で修復をしました。
グラディアCRで詰めると、セラミックが配合されている分、変色しにくく通常の樹脂の詰め物よりも強度があがるので割れにくくなります。
また、個々の歯の色調に合わせて色味を出していくことができるので、審美性に長けています。
処置後の状態が下の写真になります。
きれいになり、とても喜んで頂けました!
詰め物の色や変色が気になる方はぜひご相談ください。
歯科医師 津川



