オフィスホワイトニング
/
こんにちは!
今回は、”歯の黄ばみが気になる” との事で、オフィスホワイトニングを3回受けられた患者様のご紹介です!
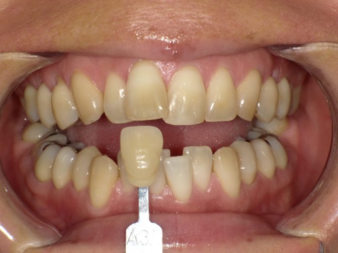
術前のお写真です。
自然な白さになりたいと希望され、特に前歯の色ムラを気にされておられました。
1回目のホワイトニング直後です。
2回目のホワイトニング直後です。
先端側の黄ばみが少し落ちてきましたね。
3回目のホワイトニング直後です。
統一感がでて色ムラが目立たなくなりました。
更にホームホワイトニングをしっかりと併用すると、パキッとした綺麗な白さに仕上がります!
しっかりと白くしたい方はオフィスとホームを組み合わせたホワイトニングのコースがおすすめです!
気になる方や、歯の色にお悩みの方など、お気軽にご相談してください!
衛生士 古谷





