グラディアCRによる審美修復治療
こんにちは!
歯科衛生士の町田です︎!
みなさん、こんなお悩みはありませんか?
・前歯の隙間が気になる、隙間をなくしたい
・なるべく歯を削りたくない
・歯の形が気に入らない、歯の形を治したい
・虫歯をきれいに治したい
・以前に治療した詰め物が変色してきた
・金属の詰め物を白くしたい
・歯がかけた
このようなお悩みのある方に対応できる治療法を紹介します!
グラディアCRという、多色の歯科用プラスチックを直接お口の中で盛りつけていき、天然歯のような自然な色や形を再現する治療法です!
この方法は、セラミックによる被せ物(クラウン)や詰め物(インレー)に比べて、歯を削る量を抑えることができます。
従来の歯科用プラスチックでは、歯の複雑な色味や質感を再現することが難しかったですが、
近年、透明感や色調が豊富に揃った審美修復用プラスチックが開発され、
多数の色調を盛り重ねることで、自然な歯を再現できるようになりました!
セラミックが配合されているため、従来の保険適用プラスチックより変色しにくく、強度も高いため、美しい状態で機能を維持することができます!
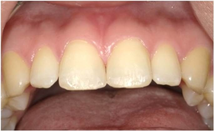
今回は正中離開(すきっ歯)のケースについてご紹介します。
before↓
すきっ歯は、歯と歯の間に隙間がある状態のことをさします。
特に前歯を気にされる方が多いのですが、この隙間をセラミック配合のレジンで詰めて改善しました。
after↓
口元の印象が大きく変わり、患者様にも満足していただけました!
メリット・デメリットはつぎのとおりです。
<メリット>
・歯を削る量が少なく、歯にやさしい
・型どりをする必要がないので、1日で終わる
・自然な歯の色を再現することができる
・欠けたりした時に、修復が簡単にできる
<デメリット>
・歯の当たり方によって詰め物が割れたり外れたりすることがある
・治療時間が従来の治療より長くなることがある
・虫歯が広範囲な場合などには適応できないことがある
・多少変色する(研磨することで改善できます)
気になることがあれば、お気軽にスタッフまでお声がけ下さい!
最後まで読んで頂きありがとうございました!
衛生士 町田




